가려운 피부염, 긁으면 안 좋을까요? 피부염으로 가려울 때 긁어도 괜찮을까요? 많은 분들이 피부염으로 인한 가려움증 때문에 힘들어하고 계실 거예요. 저도 그런 경험이 있어요. 오늘은 피부염과 가려움증, 그리고 긁는 행동이 왜 나쁜지에 대해 자세히 알아보도록 할게요.
1. 가려움증의 원인
가려움증은 여러 가지 원인으로 발생할 수 있어요. 특히 피부염이 대표적이죠. 아토피 피부염, 접촉 피부염, 그리고 건선 등 다양한 피부질환이 가려움증을 유발할 수 있어요. 이들 피부염은 피부의 염증 반응으로 인해 가려움증이 발생하게 되는데, 이는 우리 몸이 외부 자극이나 알레르기 물질에 반응하는 과정에서 생기는 거예요.
예를 들어 아토피 피부염은 유전적인 요인과 환경적인 요인이 복합적으로 작용하여 발생하는 경우가 많아요. 특히 아토피 피부염은 소아 뿐만 아니라 성인에게도 많이 나타나며, 가려움증이 지속되는 것이 특징이에요.

2. 긁는 행동의 부작용
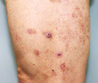
가려운 부위를 긁는 것은 일시적으로 시원한 느낌을 줄 수 있지만, 실제로는 여러 부작용이 있어요. 긁으면 피부의 상처가 나고, 이로 인해 더욱 심한 염증과 감염이 발생할 수 있죠. 그래서 가려움증과 긁는 행동은 악순환을 이루게 돼요. 긁은 후 상처가 나면 다시 가렵고, 이 때문에 또 긁게 되는 거예요.
연구에 따르면, 긁는 행동이 통증을 감지하는 신경세포에서 'P 물질'이라는 화학물질을 분비하게 만들며, 이것이 또 다른 가려움증을 유발할 수 있다고 해요. 그래서 긁는 것은 단기적 쾌감을 주지만, 장기적으로는 가려움을 악화시킬 수 있어요.

3. 피부염 종류와 특징
피부염은 여러 종류가 있고, 각 종류마다 특징이 다르답니다. 아토피 피부염은 가렵고, 붉은 반점이 나타나며, 특히 팔꿈치나 무릎 뒤쪽에 많이 발생해요. 접촉 피부염은 알레르기 반응으로 인해 특정 물질과 피부가 접촉했을 때 나타나며, 발진이나 물집이 생길 수 있어요. 건선은 피부세포의 과도한 성장으로 인해 두꺼운 비늘 같은 병변이 생기는 질환이에요.

이처럼 각기 다른 피부염이 가려움증을 유발할 수 있으니, 정확한 진단이 중요해요.
4. 가려움증 완화 방법
가려움증을 완화하는 방법도 여러 가지가 있어요. 첫째, 보습제를 자주 사용하여 피부를 촉촉하게 유지하는 것이 중요해요. 건조한 피부는 더 쉽게 가려움증을 유발하거든요. 둘째, 가려운 부위는 긁지 말고, 시원한 찜질을 해보세요. 얼음찜질이나 차가운 물로 샤워하는 것도 도움이 될 수 있어요.
셋째, 항히스타민제 같은 약물을 사용해 볼 수도 있어요. 이러한 약물은 가려움증을 줄이는 데 효과적이랍니다. 하지만 약물 사용은 전문의와 상담 후에 결정하는 것이 좋겠죠.

5. 전문가의 도움 요청하기
가려움증이 심하거나 지속된다면, 꼭 피부과 전문의를 찾아가는 것이 중요해요. 전문가는 피부 상태를 진단하고, 적절한 치료법을 제시해 줄 수 있어요. 때로는 연고나 약물뿐만 아니라, 생활습관에 대한 조언도 함께 받을 수 있답니다.
특히 아토피 피부염과 같은 만성 질환은 조기 치료가 중요하므로, 가벼운 증상이라도 지나치지 말고 상담해 보세요.

6. 참고 자료 및 추가 정보
피부염과 가려움증에 대한 정보를 더 알고 싶으시다면, 다음의 자료를 참고해 보세요:
피부염은 정말로 힘든 질환이지만, 올바른 관리와 치료로 충분히 개선할 수 있어요. 가려움증 때문에 고통받고 계신 분들에게 도움이 되었으면 좋겠습니다.
'건강과 음식궁합' 카테고리의 다른 글
| 아랫배 가스가 찼을때 조치방법 (1) | 2025.02.02 |
|---|---|
| 무릎관절 통증 줄이는 방법은? (2) | 2025.02.01 |
| 부위별 복통 원인 (1) | 2025.01.31 |
| 항문 가려움증 긁어도 되나요? (1) | 2025.01.26 |
| 미세먼지와 초미세먼지 차이 (2) | 2025.01.26 |